【医疗满意在人民】技术融合破“心”障 精准消融焕新生——泰安市中心医院完成全市首例心外膜室早创新治疗术
大众报业·齐鲁壹点 12-08
当冠脉介入的“精准导航”与心电生理的“敏锐侦察”碰撞融合,便能为顽固性心律失常患者点亮生命之光。泰安市中心医院心肺血管病科青年医生向兵带领团队,创新性采用“导丝标测联合无水乙醇消融”术式,成功攻克心外膜室性早搏这一“心律失常中的硬骨头”,为一名深受病痛困扰的患者解除顽疾。标志着泰安市中心医院在复杂心律失常精准治疗领域迈入省内领先行列。
今年45岁的患者王女士(化名),近一年来被反复心悸症状缠扰,经检查确诊为室性早搏。她曾辗转多家医院治疗,效果却始终不理想。近期,其心悸症状愈发频繁,有时甚至影响正常行走和睡眠,生活质量大打折扣。抱着最后一丝希望,王女士来到泰安市中心医院心肺血管病科寻求帮助。
接诊医生向兵详细查阅患者病史,结合动态心电图等检查结果,发现其24小时室性早搏高达46108次,属于顽固性室早。在完善相关评估后,向兵团队决定为患者实施射频消融治疗。然而,术中通过三维电解剖系统精细标测后,一个棘手的问题浮出水面——患者的病灶并非位于常见的心肌内部,而是深藏于心外膜下。
心外膜起源的室性早搏为何被称为“硬骨头”?据向兵介绍,心外膜病灶被脂肪层包裹,传统射频消融的能量难以穿透屏障抵达靶点,不仅手术成功率不足50%,术后复发率也居高不下,一直是心律失常治疗领域的难题。
面对治疗困境,向兵团队没有退缩。凭借深厚的专业积累和创新思维,他们决定打破技术壁垒,将冠脉介入技术与心电生理标测技术深度融合,探索全新治疗路径。手术中,团队先将冠脉导丝精准送入心大静脉分支——间隔支静脉,抵达病灶附近区域。通过导丝标测技术,实现对心外膜异常兴奋点的毫米级定位,这一步如同在心脏表面开启“GPS导航”,为后续治疗精准锁定目标。

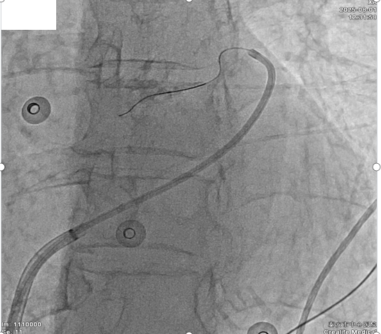
将导丝送入靶血管
在三维电解剖系统的实时监测与引导下,团队通过PTCA球囊向靶血管精准注射2ml无水乙醇。借助化学消融原理,病灶被成功灭活,室性早搏瞬间消失。为确保疗效稳定,团队继续观察1小时,患者未再出现室性早搏,手术宣告圆满成功。

无水乙醇消融后局部心肌染色明显
“两种技术的融合,就像给手术装上了‘双保险’。”向兵解释道,冠脉技术的巧妙应用,解决了心外膜病灶“难以触及”的可达性难题;心电生理的精准标测,则确保了治疗“百发百中”的准确性。与传统手术相比,该创新术式不仅规避了射频能量对冠脉血管的损伤风险,更实现了病灶的永久消除,且手术耗时仅90分钟,大幅提升了治疗效率。
术后恢复阶段,患者恢复情况超出预期:即刻室早消失,次日即可下床活动,术后3天便顺利康复出院。更令人振奋的是,术后复查动态心电图显示,患者24小时室性早搏次数由术前的46108次降至0次;半年后再次复查,室性早搏仍维持为0次,彻底摆脱了心悸困扰。
据了解,此次经间隔静脉无水乙醇消融治疗心外膜起源室性心律失常的手术,在泰安市内尚属首例,技术水平在山东省内处于领先地位。该手术的成功实施,不仅是泰安市中心医院心肺血管病科在复杂室性心律失常治疗领域的重大突破,更将为泰安市及周边地区的患者提供更优质、更精准的医疗服务,让更多顽固性心律失常患者有望重获健康。
作为泰安市心律失常介入治疗领域的青年才俊,向兵师从中国医学科学院阜外医院唐闽教授,在射频消融、脉冲电场消融(PFA)、无水乙醇消融、生理性起搏等领域积累了丰富经验,尤其在脉冲电场消融方面达到国内领先水平。此次创新手术的成功,正是他带领团队践行“以患者为中心”理念,不断探索医疗技术边界的生动实践。

向兵分享脉冲电场消融术经验
泰安市中心医院将以此次技术突破为契机,进一步推动多学科技术融合创新,加强人才培养和技术攻关,持续提升复杂心血管疾病的诊疗能力,为守护区域群众心血管健康筑起更坚实的屏障。
(山东省泰安市中心医院)
(齐鲁晚报·齐鲁壹点客户端欢迎各界投稿,提供线索,包括文字、照片、短视频。泰安新闻素材请联系齐鲁晚报泰安融媒中心,热线电话:0538-6982110。)
责任编辑:赵晴
热门评论 我要评论 微信扫码
移动端评论
暂无评论